Voda u plućima ili pleuralni izljev: Što se događa u tijelu kad se tekućina počne nakupljati?
- 3 komentara
- 7 min čitanja
Voda u plućima ili pleuralni izljev (pleuralni izljev pluća) prekomjerno je nakupljanje tekućine u pleuralnom prostoru, odnosno u prostoru između dvije poplućnice.
U nastavku saznajte kako nastaje voda u plućima, koliko je opasna i što učiniti ako primijetite simptome koji ukazuju na nakupljanje vode u plućima.
Voda se također može nakupljati u koljenu, a može se nakupiti i voda u plućima i oko srca.
Voda u plućima – što je?
Kada udahnemo, naš se prsni koš širi, a dijafragma (ošit) spušta. Kada izdišemo, dijafragma se podiže, a prsni koš sužava. Kako bi se to moglo dogoditi, pluća i rebra omeđuje tanak sloj tekućine koji djeluje kao lubrikant.

Problem nastaje kad se taj prostor prekomjerno ispuni tekućinom zbog niza uzroka. To se naziva pleuralnim izljevom ili nakupljanjem vode u plućima (potrebno razlikovati od plućnog edema!). Tekućina koja ispunjava pleuralni prostor može biti:
- transudatski izljev – transudati sadrže manje od 30 g/L proteina; nastaje kada tekućina iz krvnih žila ispuni pleuralni prostor zbog ciroze jetre, zatajenja bubrega ili srca
- eksudatski izljev – eksudati sadrže više od 30 gL proteina i više od 0,45 g/L kolesterola; uzrokovani su zbog infekcije samih pluća ili nakon neke bolesti pluća; obično su teži i kompliciraniji za liječenje od transudatskog izljeva
- hilozni izljev – izljev mliječne tekućine s visokim sadržajem triglicerida i masnih kapljica; obično nastaje oštećenjem nekog dijela limfnog sustava
- hiliformni ili kolesterolski izljev – tekućina sadrži puno kolesterola, a malo masnih kapljica; obično nastaje kad zbog zadebljale pleure dolazi do nemogućnosti apsorpcije kolesterola.
Pleuralni izljev pluća može biti lokaliziran samo na jednu stranu, pa razlikujemo pleuralni izljev desno i pleuralni izljev lijevo, dok se pleuralni izljev kod djece javlja puno rjeđe.
Voda u plućima kod starijih osoba češće je posljedica kroničnih bolesti, a često je praćena simptomima poput visoke temperature (voda u plućima i temperatura).
Voda u plućima – uzrok
Izljeve vode i drugih tekućina u pluća uzrokuju razna stanja i bolesti. To su:
- upala pluća
- tuberkuloza
- plućna embolija
- hipoalbuminemija
- ciroza jetre
- zatajenje bubrega
- zatajenje srca
- rak dojke
- rak pluća
- traume izazvane prometnim nesrećama
- virusna infekcija pluća
- HIV infekcija
- brojne bolesti srca i krvožilnog sustava.
Čest uzrok vode u plućima je i slabo srce (voda u plućima i slabo srce). Kod takvih bolesnika mogu se javiti i simptomi poput oticanja nogu (voda u plućima i oticanje nogu).
Upala pluća i voda u plućima često idu zajedno, a oboljele osobe imaju i mokar kašalj – pa se nerijetko spominje i kašalj i voda u plućima.
Voda u plućima često se javlja kod osoba koje pate od neke od ovih bolesti.
U pravilu najrizičnije skupine za razvijanje pleuralnog izljeva su one koje pate od nekih od ovih bolesti. To su rijetko djeca, a češće odrasle osobe koje su starije i sa slabijim imunološkim sustavom već opterećenim nekim kroničnim bolestima.
Voda u plućima i rak (voda u plućima i karcinom)
Kod pacijenata koji imaju karcinom često se javlja maligna voda u plućima, odnosno maligni pleuralni izljev. Pleuralni izljev i rak najčešće su povezani s tumorima pluća i dojke.
Stanice tumora nekontrolirano rastu i blokiraju uobičajeni protok tekućina u krvnim i limfnim žilama. Tekućina se može u plućima nakupljati i zbog tretmana protiv tumora kao što je kemoterapija.
Tumori koji najčešće uzrokuju nakupljanje vode u plućima su:
- rak pluća (voda u plućima i rak pluća)
- rak dojke
- leukemija
- rak jajnika
- melanom.
Osobe koje pate od nekog od ovih tumora često imaju oslabljen imunitet što komplicira tretman i liječenje pleuralnog izljeva. Osobe koje imaju oslabljen imunosni odgovor podložnije su infekcijama pa im se prvo prepisuju protuupalni i neki kortikosteroidni lijekovi.
Uz tretman protiv nakupljanja vode u plućima provodi se i liječenje tumora pa liječnik mora učinkovito kombinirati te dvije terapije.
Voda u plućima – simptomi
Ako niste sigurni kako prepoznati vodu u plućima, obratite pažnju na sljedeće simptome
- bol u prsnom košu
- otežano disanje
- bolno udisanje i izdisanje
- mokri ili suhi kašalj
- visoka temperatura
- učestala štucavica.
Kada nastane pleuralni izljev, simptomi koji se pojave trebaju se odmah prijaviti liječniku i trebate potražiti odgovarajuću zdravstvenu skrb.
Hitnu medicinsku pomoć treba potražiti osoba koja:
- ne može disati
- sa svakim udisajem proživljava oštru i nepodnošljivu bol.

Dijagnoza vode u plućima
Pri dolasku u zdravstvenu ustanovu, liječnik će obaviti fizikalni pregled koji uključuje:
- ispitivanje i potvrđivanje obiteljske povijesti srčanih problema
- tapkanje po prsnom košu – ako udarac odzvanja tupo, vjerojatno je prisutna voda u plućima
- promatranje širenja prsnog koša pri disanju – ako je asimetrično u jednom dijelu nakuplja se tekućina
- preslušavanje disanja stetoskopom – ako je prisutna voda u plućima to će liječnik čuti
- izgovor – pacijent izgovara slovo “e”, a ono se čuje kao slovo “a”.
Ostatak pregleda uključuje:
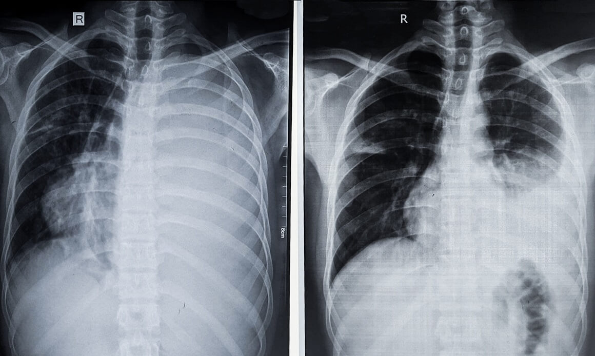
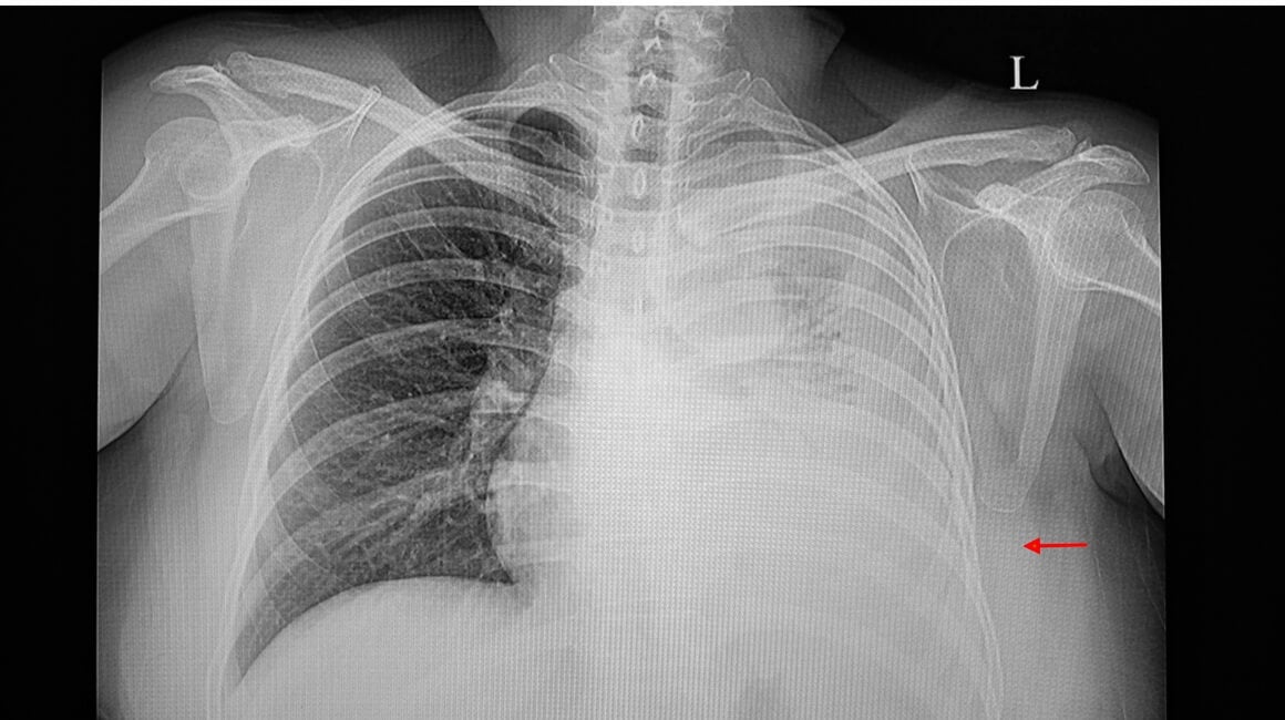
- pregled pluća X-zrakama, odnosno rendgen pluća – može učinkovito dokazati prisutnost tekućine u pleuralnom prostoru koja se pojavljuje kao bjelkasta mrlja u dnu pluća
- ultrazvuk pluća – može brzo i efikasno odrediti prisutnost nakupljene i lokalizirane vode u plućima
- CT pluća – koristi se za vizualizaciju pluća te osim nakupljene tekućine može odrediti i njen uzrok
- laboratorijsko testiranje krvi – koristi se za dokazivanje bolesti koja je uzrokovala pleuralni izljev
- torakocenteza – postupak kojim se pomoću igle izvlači uzorak tekućine iz pleuralnog prostora koji se onda šalje na analizu kako bi se utvrdile karakteristike tekućine.
Analiza tekućine dobivene torakocentezom
Nakon provedene torakocenteze, tekućina se šalje na kemijsku analizu.
Kemijskom analizom ispituje se:
- broj krvnih stanica
- prisutnost bakterija ili gljivica
- koncentracija proteina
- vrsta prisutnih stanica
- koncentracija kolesterola
- prisutnost tumorskih stanica i leukocita.
Nakon usporedbe rezultata kemijske analize tekućine iz pluća i rezultata krvne pretrage traži se uzrok zbog kojeg je došlo do izljeva tekućine u pleuralni prostor. Tada se može pronaći odgovarajući tretman za liječenje bolesti ili tretman za pleuralni izljev.
Voda u plućima – liječenje
Ako se pitate kako se liječi voda u plućima, manji izljevi vode u pluća ne zahtijevaju tretman, dok oni veći i kompliciraniji zahtijevaju liječenje, a nekad i kirurški zahvat. To se posebno odnosi na eksudacijske pleuralne izljeve (pleuralni izljev – liječenje).
Ako vas zanima kako se riješiti vode u plućima, liječenje uključuje:
- liječenje bolesti koja je uzrokovala pleuralni izljev
- davanje kisika preko maske za lice – daje se osobama koje teško dišu
- propisivanje lijekova za širenje krvnih žila (vazodilatora) ili antitumorskih ako se radi o tumorskom uzroku
- torakocentezu ili punkciju vode u plućima
- pleurodezu – uštrcavanje sredstva poput talka ili doksiciklina u pleuralni prostor što dovodi do upalne reakcije pleure te spajanja dviju poplućnica i sprječavanja nakupljanja tekućine
- kirurški zahvat ako se radi o teškom i kompliciranom slučaju – kirurški se voda iz pluća preusmjerava u abdomen ili se odstranjuje dio poplućnice.
Kod nekih pacijenata, pogotovo nakon operacije, može se razviti pleuralni izljev nakon operacije.
Voda u plućima – punkcija
Torakocenteza ili punkcija pluća provodi se umetanjem male cjevčice u pleuralni prostor. Pomoću te cjevčice može se odliti čak do 1,5 l tekućine u manjim razmacima.

Provodi se tako da:
- područje koje će se tretirati umrtvi se lokalnim anestetikom
- napravi se mali rez gdje treba umetnuti cijev
- između dva rebra uvuče se u prsni koš plastična cijev
- cijev se spoji sa zabrtvljenom vodom kako zrak ne bi ulazio u pluća
- izvlači se tekućina iz pleuralnog prostora.
Smještaj cijevi treba biti pravilan jer inače tekućina neće izlaziti. To se provjerava na rendgenu. Također, tekućina neće izlaziti ako je puna ugrušaka ili jako gusta. Tada se ugrušci pokušavaju razbiti.
Oporavak od liječenja ovisi o:
- uzroku nakupljanja vode u plućima
- veličini prostora koju je zauzela tekućina u pleuralnom prostoru
- općem zdravlju oboljele osobe.
Većina osoba bit će zadržana u bolnici, a one koje su bile podvrgnute kirurškom zahvatu ostat će u bolnici jedan ili par tjedana. To ovisi o težini provedenog zahvata i brzini njihovog oporavka.
Iako se ovo stanje može činiti opasno, kada je u pitanju voda u plućima, smrtnost je niska uz pravovremeno liječenje.
Komplikacije vode u plućima
Potencijalne komplikacije koje se mogu dogoditi zbog tekućine u plućima su:
- ponovljeno nakupljanje vode u plućima zbog neuspješnog liječenja
- infekcije ili unutarnje krvarenje prsnog koša
- sepsa – zbog proširenja infekcije u krv
- oštećenje pluća zbog nepravilno provedene torakocenteze
- potpuni ili nepotpuni kolaps pluća.
Iako su ove komplikacije jako ozbiljne, rijetko se događaju.
Prevencija nakupljanja vode u plućima
Nakupljanje vode u plućima može se spriječiti:
- u vrlo ranim fazama, ako se na vrijeme prepozna
- sprječavanjem bolesti koje uzrokuju nakupljanje vode u plućima
- ako se učestalo događa, onda se može preventivno provesti pleurodeza.
Kako prirodno izbaciti vodu iz pluća?
Pleuralni izljev, odnosno voda u plućnom krilu, je ozbiljno zdravstveno stanje koje zahtijeva medicinsku pomoć. S obzirom na to, ne može se izliječiti prirodnim putem jednom kad nastane.
Međutim, ako se radi o stanju koje se učestalo ponavlja, može se poduzeti nešto da se smanji rizik od ponovnog nastajanja. To uključuje:
- redovno kontroliranje krvnog tlaka
- prestanak pušenja
- redovnu tjelovježbu i održavanje optimalne tjelesne težine
- odgovarajuću prehranu.
Prehranom možete utjecati na poboljšanje srčanih funkcija jer upravo bolesti srca i krvnih žila najčešće uzrokuju nakupljanje vode u plućima.
Trebate jesti:
- orašaste plodove
- šumsko voće
- citrusno voće
- lisnato zeleno povrće
- češnjak,
- čaj od lipe.
Usto, trebali biste smanjiti prevelik unos soli jer sol uzrokuje nakupljanje vode u organizmu.
Pročitajte i ove članke:
- Kako se riješiti sluzi iz pluća? Evo 9 načina da si pomognete kod kuće
- Bolesti pluća: Imamo popis, simptome i 6 najčešćih okidača
- Bol u plućima: Neugodan simptom iza kojeg se može svašta skrivati! Liječnik otkriva moguće uzroke i kada su neizbježne pretrage.
Tekst Dana
Za vas izdvajamo
Sirup od lovora protiv kašlja: Prirodni recept koji smiruje suhi kašalj već nakon prve žličice
-
Kreni Zdravo
- 3 min čitanja
- kako nastaje voda u plućima
- kako prepoznati vodu u plućima
- Kako prirodno izbaciti vodu iz pluća
- kako se liječi voda u plućima
- kako se riješiti vode u plućima
- kašalj i voda u plućima
- maligna voda u plućima
- maligni pleuralni izljev
- nakupljanje vode u plućima
- pleuralni izljev
- pleuralni izljev – desno
- pleuralni izljev – liječenje
- pleuralni izljev – lijevo
- pleuralni izljev – simptomi
- pleuralni izljev – uzroci
- pleuralni izljev i rak
- pleuralni izljev kod djece
- pleuralni izljev nakon operacije
- pleuralni izljev pluća
- upala pluća i voda u plućima
- Voda u plućima
- voda u plućima – koliko je opasna
- Voda u plućima – liječenje
- Voda u plućima – simptomi
- voda u plućima – smrtnost
- Voda u plućima – uzrok
- Voda u plućima i karcinom
- Voda u plućima i oko srca
- Voda u plućima i oticanje nogu
- Voda u plućima i rak pluća
- Voda u plućima i slabo srce
- voda u plućima i temperatura
- Voda u plućima kod starijih osoba
- Hoffman, M. i Racelis, A. (2025). What Is a Pleural Effusion? WebMD.
- Kahn, A. (2023). What Is Pleural Effusion (Fluid in the Chest)? Healthline.
- Pleural effusion. (2023). Cleveland Clinic.