Krvarenje u mozgu: Simptomi stanja zbog kojeg je preminuo gitarist grupe KISS
- Budite prvi i komentirajte!
- 2 min čitanja

Poznati gitarist Ace Frehley, suosnivač legendarne grupe KISS, preminuo je u 74. godini života nakon što je nekoliko tjedana ranije doživio pad u studiju, što je rezultiralo krvarenjem u mozgu.
Iako uzrok smrti službeno nije potvrđen, ovaj slučaj podsjeća na to koliko je važno prepoznati koji su simptomi krvarenja u mozgu i reagirati na vrijeme.
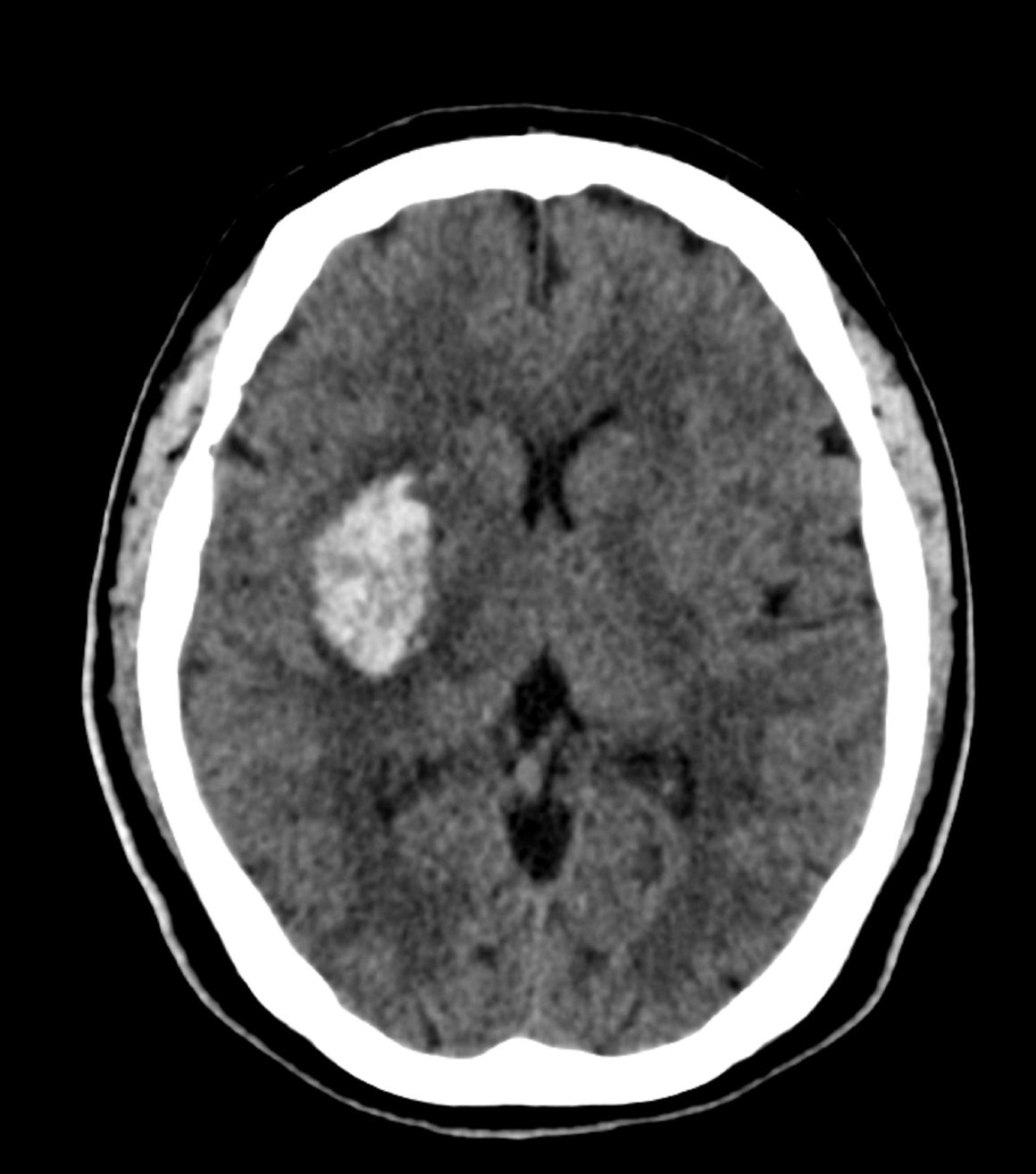
Krvarenje u mozgu, ili intracerebralna hemoragija, ozbiljno je stanje koje nastaje kada krvna žila u mozgu procuri ili pukne, uzrokujući pritisak na moždano tkivo.
Krvarenje u mozgu – simptomi
Mozak se oslanja na krvne žile koje mu dostavljaju kisik i hranjive tvari. Kada se pojavi unutarnje krvarenje mozga, krv se skuplja unutar lubanje i vrši pritisak na mozak, što sprječava normalan dotok kisika.
Kada se pojavi krvarenje u mozgu, simptomi se mogu razlikovati ovisno o vrsti i mjestu krvarenja, ali najčešće uključuju sljedeće:
- iznenadna jaka glavobolja
- trnci, slabost ili paraliza lica, ruku ili nogu (često samo na jednoj strani tijela)
- mučnina i povraćanje
- zbunjenost i vrtoglavica
- govorne poteškoće i otežano gutanje
- gubitak ravnoteže i koordinacije
- gubitak svijesti i koma.
Simptomi krvarenja u mozgu kod djece ili kada se pojavi krvarenje u mozgu kod beba mogu biti suptilniji i uključuju – razdražljivost, probleme s hranjenjem, napadaje i povraćanje.
Posljedice krvarenja u mozgu kod beba mogu biti ozbiljne, uključujući neurološke poteškoće i razvojne probleme.

Vrste krvarenja u mozgu
Krvarenje u mozgu može se dogoditi unutar mozga ili u prostoru između membrana koje ga štite. Glavne vrste uključuju:
- epiduralno krvarenje – između lubanje i vanjske membrane (dura mater)
- subduralno krvarenje – između dura mater i arahnoidne membrane
- subarahnoidno krvarenje – između arahnoidne i pia mater membrane
- intracerebralno krvarenje – unutar moždanog tkiva (lobusi, moždano deblo, mali mozak)
- intraventrikularno krvarenje – u moždanim komorama gdje se stvara cerebrospinalna tekućina.
Krvarenje u mozgu nakon udarca – simptomi
Posebno je važno prepoznati krvarenje u mozgu nakon udarca i krvarenje u mozgu nakon moždanog udara, jer su ovo najčešći uzroci kod odraslih.
Uzroci i faktori rizika
Krvarenje u mozgu nastaje kada krvna žila procuri ili pukne. Najčešći uzroci uključuju:
- padove, udarce ili prometne nesreće
- moždane aneurizme i malformacije krvnih žila
- visoki krvni tlak i aterosklerozu
- korištenje lijekova za razrjeđivanje krvi
- tumore ili nakupljanje proteina u stijenkama krvnih žila.
Krvarenje u mozgu kod novorođenčadi može nastati zbog komplikacija pri porodu, niske težine ili nepravovremenog razvoja krvnih žila.
Dijagnoza i liječenje
Ako sumnjate na unutarnje krvarenje mozga, liječnici će napraviti:
- CT ili MRI snimke
- EEG i angiografiju
- laboratorijske pretrage krvi i spinalnu punkciju.
Liječenje može uključivati:
- kirurške zahvate poput dekompresije, kraniektomije ili kraniotomije
- lijekove za kontrolu krvnog tlaka, bolova i napadaja
- Intenzivnu medicinsku njegu i potporu kisikom i tekućinama.
Za bebu ili dijete pravovremeno liječenje značajno smanjuje posljedice krvarenja u mozgu kod beba i poboljšava izljev krvi u mozak – oporavak je u tom slučaju moguć.

Izljev krvi u mozak – posljedice i oporavak
Nepravilno ili kasno liječenje može dovesti do:
- paralize i poteškoća s pokretima
- problema sa sjećanjem i komunikacijom
- promjena osobnosti i ponašanja
- kome ili trajnog oštećenja mozga.
Oporavak nakon izljeva krvi u mozak uključuje fizikalnu terapiju, logopedsku i radnu terapiju, uz prilagodbu svakodnevnog života. Izljev krvi u mozak i koma zahtijevaju dugotrajnu rehabilitaciju i stalni nadzor.
Prevencija
Iako se ne mogu spriječiti svi slučajevi, smanjiti rizik od krvarenja u mozgu moguće je:
- kontrolom krvnog tlaka i šećera u krvi
- održavanjem zdrave tjelesne težine
- ograničenjem alkohola i prestankom pušenja
- nošenjem zaštitne opreme prilikom sportskih aktivnosti i sigurnosnog pojasa u vozilima.
Pročitajte i ove članke:
- Simptomi aneurizme u glavi na koje upozorava liječnik
- Cerebrovaskularne bolesti: Koji su simptomi i faktori rizika?
- Umjetna inteligencija dvostruko točnija u prepoznavanju moždanog udara od liječnika.
Tekst Dana
Za vas izdvajamo

Znanstvenici su upravo povezali konzumaciju alkohola s još jednom vrstom raka!
- Tomislav Stanić
- 2 min čitanja
- izljev krvi u mozak – oporavak
- izljev krvi u mozak – posljedice
- izljev krvi u mozak i koma
- krvarenja u mozgu kod beba
- krvarenje u mozgu – simptomi
- krvarenje u mozgu kod beba
- krvarenje u mozgu kod novorođenčadi
- krvarenje u mozgu nakon moždanog udara
- krvarenje u mozgu nakon udarca – simptomi
- posljedice krvarenja u mozgu kod beba
- simptomi krvarenja u mozgu
- simptomi krvarenja u mozgu kod beba
- simptomi krvarenja u mozgu kod djece
- simptomi unutarnjeg krvarenja u glavi
- unutarnje krvarenje mozga
- Cartwright, M. (2025). Ace Frehley Cause of Death: What We Know After Kiss Guitarist Dies Age 74. Newsweek.
- Booth, S. i Wright, S. (2024). Brain Hemorrhage: Causes, Symptoms, Treatments. WebMD.
- Brain Bleed, Hemorrhage (Intracranial Hemorrhage). (2023). Cleveland Clinic.