Karcinom in situ: Koje je značenje? Evo što trebate znati
- Budite prvi i komentirajte!
- 3 min čitanja
Zahvaljujući suvremenim metodama ranog otkrivanja, danas se sve češće dijagnosticiraju tumori u vrlo ranoj fazi razvoja – fazi poznatoj kao karcinom in situ.
Iako sama riječ “karcinom” zvuči zabrinjavajuće, važno je razumjeti što točno znači ova dijagnoza, koliki je rizik od napredovanja bolesti te kako se razlikuje od invazivnog raka.
U nastavku otkrivamo koje je, kada je u pitanju karcinom in situ, značenje, kako se dijagnosticira i liječi te po čemu se razlikuje od prekanceroznih promjena.
Karcinom in situ – značenje i osnovne informacije
Karcinom in situ označava najraniji stadij raka, poznat i kao stadij 0. Riječ je o promjenama kod kojih su stanice zloćudne, ali su i dalje ograničene na mjesto na kojem su nastale.
Drugim riječima, kada je u pitanju karcinom in situ, značenje podrazumijeva neinvazivni oblik raka koji se još nije proširio u okolno tkivo. Upravo zato se smatra da je u ovoj fazi bolest potencijalno izlječiva u gotovo 100 % slučajeva, osobito ako se pravovremeno liječi.
Međutim, iako se često opisuje kao “rak u začetku”, trenutno ne postoji pouzdan način da se sa sigurnošću utvrdi hoće li svaki karcinom in situ napredovati u invazivni rak. Upravo zbog tog rizika liječnici ga najčešće tretiraju ozbiljno.
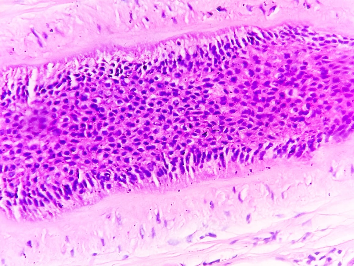
Kako izgleda karcinom in situ pod mikroskopom?
Dijagnoza se postavlja mikroskopskom analizom uzorka tkiva (biopsijom). Stanice kod kojih je potvrđen karcinom in situ pokazuju brojne abnormalnosti u usporedbi sa zdravim stanicama:
- promijenjen oblik i veličinu
- nepravilne jezgre
- ubrzano dijeljenje.
Iako izgledaju poput stanica invazivnog raka, ključna razlika je u tome što još nisu probile bazalnu membranu niti su zahvatile okolno potporno (stromalno) tkivo.

Razlika između karcinoma in situ i invazivnog karcinoma
Glavna razlika je u proširenosti bolesti.
Kod dijagnoze karcinom in situ, značenje podrazumijeva da su zloćudne stanice ograničene na epitel (površinski sloj stanica). Kod invazivnog karcinoma stanice su probile bazalnu membranu i proširile se u dublje slojeve tkiva, čime dobivaju mogućnost širenja putem krvi i limfe (metastaziranja).
Stadiji raka dijele se na:
- stadij 0 – karcinom in situ (neinvazivni)
- stadij 1 – 4 – invazivni karcinomi različitog stupnja proširenosti.
Je li karcinom in situ isto što i prekancerozne promjene?
Ovo je jedno od najčešćih pitanja. Pojmovi poput displazije i prekanceroznih stanica opisuju spektar promjena između potpuno zdravih i invazivnih zloćudnih stanica. Displazija može biti blaga, umjerena ili teška.
Neki stručnjaci smatraju da je karcinom in situ zapravo najteži oblik displazije jer zahvaća punu debljinu epitela, ali bez prodora u dublje slojeve. Drugi ga već smatraju pravim, ali neinvazivnim rakom.
Primjerice, kod abnormalnog Papa testa mogu se uočiti displastične stanice. No, tek biopsija može potvrditi radi li se o karcinomu in situ.
Koje vrste raka mogu imati stadij karcinoma in situ?
Teoretski, svaki rak koji započinje u epitelnim stanicama može imati fazu karcinoma in situ. Najčešći primjeri uključuju:
- dojku – duktalni karcinom in situ (DCIS) i lobularni karcinom in situ (LCIS)
- vrat maternice – cervikalna intraepitelna neoplazija
- mokraćni mjehur
- pluća (stadij 0)
- kožu – planocelularni karcinom in situ.
S druge strane, tumori poput sarkoma (kao što je rak kostiju) nemaju stadij karcinoma in situ jer nastaju u tkivima koja nemaju bazalnu membranu. Također, leukemije i limfomi nemaju preinvazivnu fazu jer zahvaćaju krv i limfni sustav.

Treba li karcinom in situ liječiti?
U većini slučajeva liječenje uključuje kirurško uklanjanje promjene. Vrsta zahvata ovisi o:
- lokaciji tumora
- veličini promjene
- dobi pacijenta
- dodatnim čimbenicima rizika.
Kod nekih oblika, poput određenih promjena na koži, mogu se koristiti i lokalne terapije (topikalna kemoterapija).
Iako je prognoza iznimno dobra, odluka o liječenju ponekad može biti predmet rasprave, osobito kod duktalnog karcinoma in situ dojke. Dok jedni zagovaraju aktivno liječenje, drugi u pojedinim slučajevima razmatraju pažljivo praćenje.
Zašto je važno razumjeti karcinom in situ?
Razumijevanje pojma karcinom in situ pomaže smanjiti strah i neizvjesnost nakon dijagnoze. Iako se radi o raku u najranijoj fazi, on još nije invazivan i u pravilu je izlječiv ako se pravovremeno liječi.
Redoviti preventivni pregledi – poput Papa testa, mamografije i dermatoloških pregleda – ključni su za otkrivanje bolesti upravo u ovoj fazi.
Pročitajte i ove članke:
- Najčešće vrste raka: Ovo su tumori koji odnose najviše života u Hrvatskoj
- Kako se stvara rak? Liječnik otkriva što stoji u pozadini
- Znanstvenici žele presresti rak desetljećima prije nego što se razvije, evo na koji način.
Tekst Dana
Za vas izdvajamo
Znanstvenici tvrde da ova namirnica može pomoći u očuvanju mišićne snage nakon 65-e!
- Tomislav Stanić
- 3 min čitanja
- Eldridge, L. (2026). What Is Carcinoma In Situ and What Does It Mean? Verywell Health.