Catherine O’Hara godinama je živjela s dijagnozom za koju mnogi nikad ne saznaju!
- Budite prvi i komentirajte!
- 2 min čitanja
Poznata glumica Catherine O’Hara, dobitnica nagrade Emmy, koju pamtimo po ulogama u seriji Schitt’s Creek, filmu Sam u kući i kao glas Sally u animiranom klasiku The Nightmare Before Christmas, godinama je živjela s rijetkim zdravstvenim stanjem koje se naziva dekstrokardija sa situs inversusom.
O’Hara je u intervjuu iz 2020. godine otkrila da je za dijagnozu saznala više od 20 godina ranije, tijekom rutinskih liječničkih pretraga, naglasivši da nikad nije imala nikakve simptome.
Preminula je 30. siječnja u 71. godini života nakon kratke bolesti, a zasad nije poznato je li ovo stanje imalo ikakvu ulogu u njezinoj smrti.
Što je dekstrokardija sa situs inversusom?
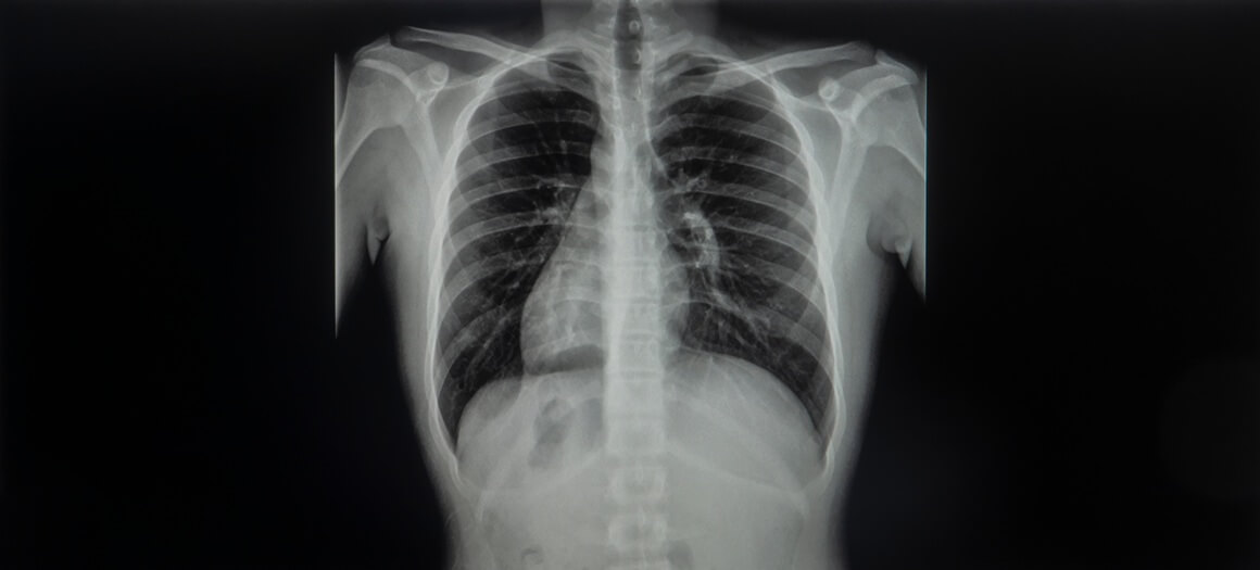
Kod osoba s dekstrokardijom srce se nalazi na desnoj strani prsnog koša, umjesto na lijevoj. Kada je dekstrokardija udružena sa situs inversusom, i drugi organi – poput pluća, jetre, želuca i slezene – također su “zrcalno” raspoređeni.
Pojam “situs inversus” označava upravo takav obrnuti raspored unutarnjih organa, a ako su svi glavni organi smješteni na suprotnim stranama, stanje se naziva situs inversus totalis.
Kako se dijagnosticira dekstrokardija?
Dekstrokardija sa situs inversusom vrlo je rijetka i javlja se kod otprilike jedne na 10.000 osoba. Točan uzrok još nije u potpunosti razjašnjen, no poznato je da je povezana s određenim genetskim mutacijama i nastaje vrlo rano tijekom razvoja fetusa.

Kao i u slučaju Catherine O’Hara, mnoge osobe nikad ne posumnjaju da imaju ovo stanje. Dijagnoza se često otkriva slučajno, primjerice tijekom rendgenskog snimanja prsnog koša, elektrokardiograma (EKG-a) ili ultrazvuka srca koji se rade iz nekog drugog razloga.
Budući da je srce smješteno na suprotnoj strani, nalazi poput EKG-a mogu izgledati neuobičajeno ako liječnici unaprijed ne znaju za postojanje dekstrokardije. Ako nema simptoma i nema potrebe za snimanjem, neki ljudi nikad ni ne saznaju da imaju ovo stanje.
Uzrokuje li dekstrokardija zdravstvene probleme?
U većini slučajeva dekstrokardija ne uzrokuje nikakve tegobe. Mnoge osobe s izoliranom dekstrokardijom žive potpuno normalan i zdrav život bez ikakvih ograničenja.
Međutim, kod nekih ljudi dekstrokardija može biti povezana s urođenim srčanim manama, što može dovesti do problema sa srcem, plućima ili probavnim sustavom.
Također, dekstrokardija se ponekad javlja zajedno s poremećajem dišnih putova poznatim kao primarna cilijarna diskinezija, koja može utjecati na funkciju pluća i sinusa te povećati sklonost čestim infekcijama.
Zašto je važno biti informiran?
Čak i kada dekstrokardija sa situs inversusom ne uzrokuje simptome, važno je da o tom stanju obavijestite sve zdravstvene djelatnike koji vas liječe.
Obrnuti položaj organa može zakomplicirati dijagnostiku i hitnu medicinsku pomoć. Primjerice, bol kod upale slijepog crijeva ili problema sa žučnim mjehurom može se javiti na “pogrešnoj” strani tijela, što može usporiti postavljanje točne dijagnoze.
Pročitajte i ove članke:
- Uloga majke koju je Catherine O’Hara učinila nezaboravnom
- Popis rijetkih bolesti: Zašto se ništa ne pokreće?
- Kako izgleda kada bolujete od rijetke bolesti? Evo iskustava onih kojima je svaki dan borba.
Tekst Dana
Za vas izdvajamo
Kada starije žene mogu prestati s mamografskim pregledima?
- Tomislav Stanić
- 2 min čitanja
- Upham, B. (2026). What to Know About Catherine O’Hara’s Rare Heart Condition. Everyday Health.