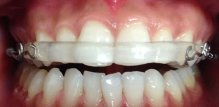
Mobilni aparatić nove generacije – Inman Aligner
- Budite prvi i komentirajte!
- 1 min čitanja
Tekst Dana
Za vas izdvajamo
Piše nutricionistica
Zašto su Hrvati debeli, a Talijani koji žive na tjestenini mršavi?
- Zrinka Babić
- 5 min čitanja
Članak objavljen:
