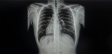
dekstrokardija Budite prvi i komentirajte! 1 min čitanja Maja Kuzelj Grgić mag. comm., univ. bacc. croat. Tekst Dana Za vas izdvajamo Evo što kaže onkologinja Kada starije žene mogu prestati s mamografskim pregledima? Tomislav Stanić 2 min čitanja Članak objavljen: 04-02-2026 Zatvori Podijelite članak Facebook Twitter Whatsapp Viber Kopirajte adresu
Evo što kaže onkologinja Kada starije žene mogu prestati s mamografskim pregledima? Tomislav Stanić 2 min čitanja