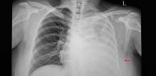
Voda u plućima ili pleuralni izljev Što se događa u tijelu kad se tekućina počne nakupljati
- Budite prvi i komentirajte!
- 1 min čitanja
Tekst Dana
Za vas izdvajamo
Novo istraživanje
Znanstvenici otkrili 8 tipova dugog COVID-a: Provjerite kojem profilu pripadate
- Tomislav Stanić
- 2 min čitanja
Članak objavljen:
