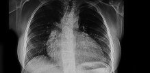
Uvećano srce (kardiomegalija) Budite prvi i komentirajte! 1 min čitanja Tomislav Stanić mag. educ. philol. croat. Tekst Dana Za vas izdvajamo Piše psihologinja Ljudi koji stalno kasne: Lijenost ili ozbiljan problem? Marija Šimunić 3 min čitanja Članak objavljen: 30-12-2025 Zatvori Podijelite članak Facebook Twitter Whatsapp Viber Kopirajte adresu
Piše psihologinja Ljudi koji stalno kasne: Lijenost ili ozbiljan problem? Marija Šimunić 3 min čitanja