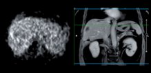
Rak jetre – dijagnoza
- Budite prvi i komentirajte!
- 1 min čitanja
Tekst Dana
Za vas izdvajamo
Jedite ih redovito
5 namirnica koje doslovno “čiste” vaše krvne žile – i čuvaju vas od moždanog udara!
- Tomislav Stanić
- 2 min čitanja
Članak objavljen:
