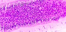
karcinom in situ pod mikroskopom
- Budite prvi i komentirajte!
- 1 min čitanja
Tekst Dana
Za vas izdvajamo
Jedna od najzahvalnijih biljaka za interijer
Zamija i presađivanje: Kada je pravo vrijeme i kako ubrzati rast?
- Tomislav Stanić
- 3 min čitanja
Članak objavljen:
