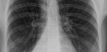
Atelektaza pluća
- Budite prvi i komentirajte!
- 1 min čitanja
Tekst Dana
Za vas izdvajamo
Istraživanje na 108 osoba
Znanstvenici tvrde da ova namirnica može pomoći u očuvanju mišićne snage nakon 65-e!
- Tomislav Stanić
- 3 min čitanja
Članak objavljen:
